Vous pouvez prendre RDV pour une consultation :

Prothèse de l’épaule : Opération et résultat

Une chirurgie de mise en place d'une prothèse de l'épaule peut être envisagée en cas de douleurs chroniques de l’épaule avec limitation de la mobilité, notamment pour les patients qui présentent un stade avancée d'omarthrose (arthrose de l'épaule) ou en cas d'echec d'un traitement médical.

Partager cette page :

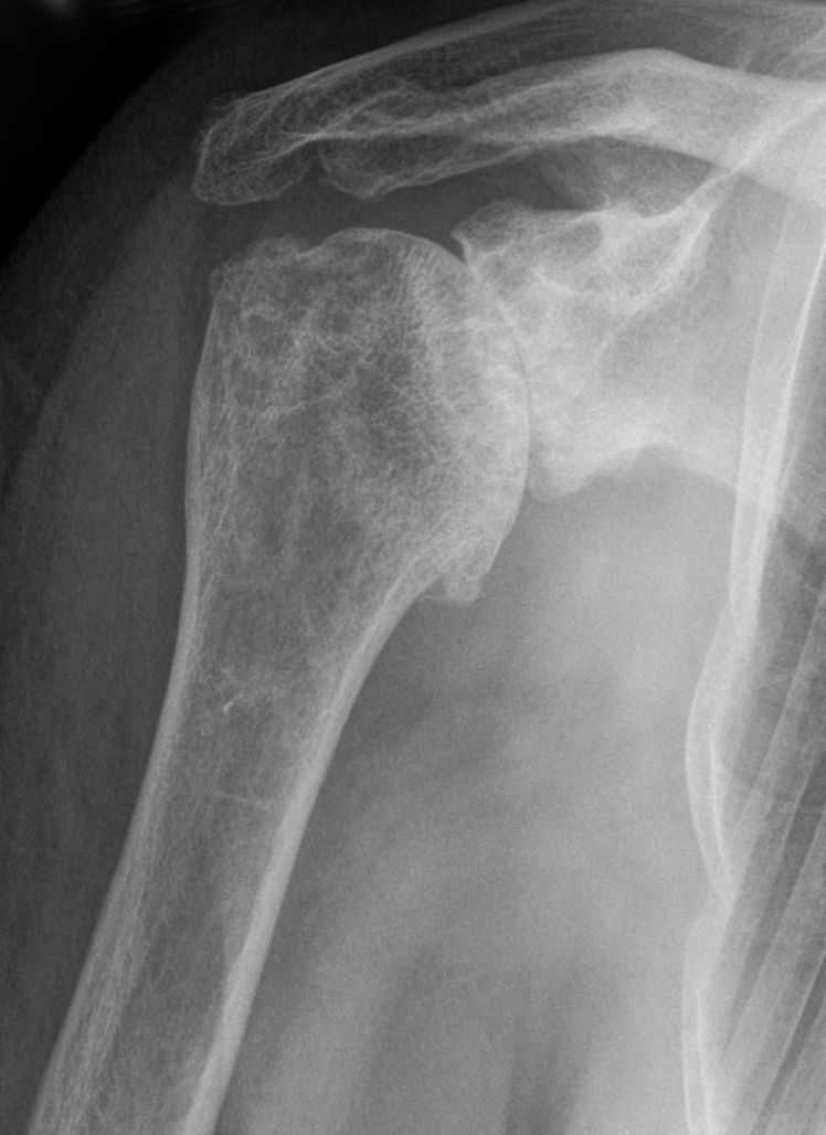
L’arthrose de l’épaule (ou omarthrose)

L’épaule permet au bras, c’est-à-dire à l’humérus, de s’articuler avec l’omoplate. Au niveau de cette articulation de l’épaule, la surface articulaire de chaque os est recouverte de cartilage, leur permettant d’être mobiles et de se déplacer harmonieusement l’un par rapport à l’autre.

Ce cartilage peut s’user et se dégrader progressivement, c’est ce que l’on appelle l’arthrose (ou omarthrose dans le cas de l’épaule)

Le cartilage peut également être détruit de manière rapidement évolutive, après un traumatisme ou une fracture. Certaines maladies inflammatoires comme la polyarthrite peuvent également entraîner une destruction progressive du cartilage articulaire.

Radio d'arthrose de l'épaule

Cette usure du cartilage s’accompagne également de modifications et d’une déformation de l’os situé sous le cartilage, aussi bien au niveau de l’omoplate que de l’humérus.

Cette arthrose entraîne alors des douleurs et une diminution de la mobilité de l’épaule, s’aggravant progressivement. Ainsi, il est de plus en plus difficile d’utiliser le bras, que ce soit dans les gestes de la vie quotidienne, de la vie professionnelle ou dans le cadre d’une pratique sportive.

Le traitement est en général médical dans un premier temps avec anti-inflammatoires, antalgique, infiltration de corticoïde, voire visco-supplémentation ou injections de PRP.

En cas d’amélioration insuffisante, la mise en place d’une prothèse de l’épaule est alors indiquée.

> En savoir plus sur l’omarthrose

Qu’est-ce qu’une prothèse d’épaule ?

La prothèse d’épaule consiste à remplacer au niveau de l’articulation l’extrémité usée des deux os qui s’y articulent par des pièces artificielles, en reproduisant le mécanisme de cette articulation.

La prothèse est fabriquée à partir d’alliages métalliques en général à base de Titane ou de chrome cobalt, et de polyéthylène. Il s’agit de matériaux biocompatibles : les risques d’allergie ou d’intolérance sont exceptionnels.

Il existe différents types de prothèse de l’épaule. Lors d'une consultation, le Dr Roure vous expliquera leurs différences et vous indiquera le type de prothèse le plus adapté à votre sitution.

Prothèse total anatomique de l'épaule pour traiter chirurgicalement une omarthrose - arthrose de l'épaule

Prothèse totale d’épaule anatomique

La prothèse humérale simple

Seule l’extrémité de l’humérus est remplacée avec la mise en place d'une prothèse humérale simple. Ce type de prothèse est proposée lorsque seule la partie humérale de l’épaule est atteinte (fracture de la tête humérale, nécrose, …).

La prothèse totale d’épaule anatomique

La prothèse totale anatomique reproduit l’anatomie de l’épaule. Elle doit être envisagée lorsque les tendons et les muscles autour de l’articulation de l'épaule sont intacts.

La prothèse totale d’épaule inversée

Ce type de prothèse modifie l’anatomie originelle de l’épaule. La partie sphérique de la prothèse est alors appliquée sur l’omoplate, et non pas sur l’humérus, comme c’est initialement le cas. La prothèse totale d’épaule inversée permet à l’épaule de fonctionner malgré une altération ou une rupture des tendons de la coiffe des rotateurs situés autour de l’articulation. Elle est ainsi privilégiée dans ces situations.

Prothèse totale d’épaule inversée

Prothèse totale d’épaule inversée

Quand envisager la mise en place d’une prothèse de l’épaule ?

La mise en place d’une prothèse d’épaule est proposée par le chirurgien en cas de douleurs chroniques de l’épaule avec limitation de la mobilité. Elle doit également être envisagée après échec du traitement médical avec rééducation et infiltrations.

En cas d’arthrose avec conservation d’un bon état des tendons et des muscles de la coiffe des rotateurs, une prothèse totale anatomique sera proposée.

En cas d’arthrose avec altération ou rupture des tendons de la coiffe des rotateurs, ou d’épaule douloureuse chronique liée à une rupture non réparable des tendons de la coiffe des rotateurs, une prothèse totale d’épaule inversée sera alors privilégiée.

En cas de fracture articulaire de la tête humérale, la mise en place d’une prothèse de l’épaule pourra également être directement proposée.

L’opération de mise en place d’une prothèse de l’épaule

En résumé :

  • Anesthésie : générale, possiblement complétée par une anesthésie régionale.
  • Durée de l’opération : 1h30
  • Hospitalisation : 2 à 3 nuits
  • Durée d’immobilisation : entre 1 mois et 1 mois et demi.

Avant l’opération :

Une intervention chirurgicale sous anesthésie avec incision au niveau de l’épaule est naturellement nécessaire pour la mise en place de la prothèse d’épaule. L'opération est réalisée sous anesthésie générale, possiblement complétée par une anesthésie régionale.

L’intervention est planifiée en amont avec les anesthésistes, avec bilan pré-opératoire complet permettant de minimiser le risque de complications et de s’assurer du bon état médical du patient.

Un bilan sanguin, dentaire, cardio-vasculaire, urinaire est généralement réalisé. Un bilan radiologique, avec également un scanner ou une IRM aura été préalablement demandé par le chirurgien.

Déroulement de l’opération

La mise en place d’une prothèse de l’épaule est une intervention chirurgicale d’une durée d’environ 1h30.

Au début de l’opération, le chirurgien pratique une incision en avant ou sur le côté de l’épaule. Les muscles sont ensuite écartés afin d’accéder à l’articulation.

La tête de l’humérus altérée est enlevée, ainsi que le cartilage recouvrant la glène, qui est la zone articulaire de l’omoplate.

Les surfaces osseuses sont ensuite préparées, afin de permettre la mise en place des 2 pièces de la prothèse qui vont s’articuler entre elles.

L’épaule est ensuite testée afin de s’assurer de son bon fonctionnement et de la bonne stabilité des pièces formant la nouvelle articulation.

Suites opératoires

Le pansement placé à la fin de l’opération doit être changé par une infirmière tous les 2 jours pendant 2 semaines.

Le bras est mis au repos par écharpe pour une durée d’environ 1 mois ½. Cette écharpe peut toutefois être enlevée la journée au calme, à condition de ne pas écarter le coude, de ne pas porter de charges lourdes ou réaliser de gestes répétitifs. La main et le coude peuvent être utilisés pendant la période de convalescence.

La rééducation pourra être réalisée en cabinet de ville ou dans un centre de rééducation. Selon votre cas, cette rééducation sera débutée entre 1 et 4 semaines après l’intervention.

La reprise de la conduite est en général possible après 2 mois. En fonction de la discipline, les activités sportives pourront être reprises après 2 à 5 mois.

Des consultations avec radios de contrôle par le Dr Roure seront ensuite régulièrement organisées.

Risques possible après une opération de mise en place d'une prothèse de l'épaule

  • Le risque d’algoneurodystrophie est rare, mais peut intervenir comme pour toutes interventions.
  • Un enraidissement de l’épaule est possible. Le rôle de la rééducation est majeur après mise en place d’une prothèse d’épaule.
  • Un hématome, c’est-à-dire l’accumulation de sang dans l’articulation, peut dans de rares cas survenir. Une reprise chirurgicale pour évacuation est alors parfois nécessaire.
  • Les risques d’infection sont rares, mais sévère car cela peut nécessiter une réintervention avec ablation et changement de la prothèse, ainsi qu’un traitement antibiotique prolongé.
  • Les complications nerveuses lors de la mise en place d’une prothèse d’épaule sont rares, mais toujours possibles.
  • La luxation, ou déboitement de la prothèse, est rare, mais peut arriver. Une manipulation sous anesthésie pour remettre en place la prothèse, voire une ré-intervention pour modifier les pièces, peut alors être nécessaire.

Quels résultats attendre d’une prothèse d’épaule ?

À terme, les résultats de la mise en place d’une prothèse de l’épaule sont très satisfaisants pour le patient. Après la convalescence, il observe une disparition ou une très nette amélioration de la douleur.

Les prothèses d’épaule ne permettent cependant pas de récupérer la totalité des amplitudes de mouvement permises par une épaule normale. Cette limitation de l’amplitude se ressentira en particulier en cas de mise en place d’une prothèse inversée. Néanmoins, les gestes utiles de la vie quotidienne sont largement récupérables.

La durée de vie des prothèses d’épaule est d’une vingtaine d’années en cas de prothèse anatomique, et d’une quinzaine d’années pour les prothèses inversées.

Catégorie(s) associée(s) :épaule
Poser une question

Vous souhaitez prendre RDV ou poser une question concernant les opérations de mise en place d'une prothèse de l'épaule :

Contactez-nous
Consultation
Espace Médical Vauban
2A Avenue de Ségur
75 007 Paris
01 53 59 88 09
Plan d'accès
Intervention chirurgicale
Clinique du sport
36 Boulevard Saint Marcel
75 005 Paris
01 86 86 75 05
Plan d'accès
Interventions

Le Docteur Philippe Roure, chirurgien orthopédiste à Paris, spécialisé en chirurgie de la main, du bras et de l'ensemble du membre supérieur (épaule, coude, poignet). Ce site internet est destiné à présenter le Dr Roure, son cabinet, ses pratiques médicales, ainsi qu’à l'information de ses patients. L'information proposée sur ce site ne dispense en aucun cas d'une consultation avec un médecin ou un chirurgien. Pour plus d'informations, vous pouvez prendre rendez-vous.

Dr Roure - Chirurgien orthopédiste à Paris © 2026 | Mentions légales | Contactez-nous | 🇬🇧 English version